首页 > 3D论坛 > 3D打印服务 > 神乎其神,3D打印人体肾脏

神乎其神,3D打印人体肾脏

作者 正文
d**n
发表时间:2015-05-07 17:46:47
本帖最后由 阳光明媚 于 2015-4-23 09:59 编辑

  现代医学的快速发展,使无数人摆脱了以往难以治愈的疾病的困扰,人类的平均寿命也不断攀高。但眼下, 依旧存在着许多“不治之症”,这些疾病是当前人类所无法抵抗的。 3D 技术,有望成为人类战胜这些顽疾的一大利器。


  近日,复旦大学附属中山医院宣布成功利用 3D 打印技术治愈了一名 77 岁高龄的主动脉瓣重度狭窄合并关闭不全患者。据悉,患者目前状况良好。央视新闻对此进行了详细报导。

  3D 打印技术是如何帮助进行先天性心病的治疗的呢?在以前,进行主动脉瓣置换手术(简称 TAVI )大部分需要进行开胸手术,个中原因是对此患者的检查都只能在电脑形成二维视野,手术中只能通过主刀医生通过各种检查到的数据在脑中加工成“ 3D 模型”,并凭此择合适的人工瓣膜型号、确定 DSA 球管投照角度、规划导管进入线路、判断瓣膜释放位置。而通过 3D 技术,却可以通过对患者的数据信息进行综合整理,再打印出一个 1:1 3D 心脏模型。


  通过打印出的 3D 模型,患者的心脏全貌乃至病变的具体位置为止一目了然,主治医生可以便可对患者进行准确安全的微创手术。王教授表示,以前进行类似手术往往需要几个小时,且开胸会对患者在生理上造成一定伤害。利用 3D 手术,只需要一小时就完成了整个过程,在程序简化的同时,也更加安全更加准确。

图为央视新闻截图

  无独有偶,据《每日邮报》报道,英国一名医生利用 3D 技术治愈了一名先天心脏畸形的 2 两岁女孩。

  麦娜患有先天性心脏病,在她的两个心室之间有个小洞,病魔蚕食着这个可怜的小女孩,她头上长不了头发,经常性气喘,身体乏力。心室间的洞对于一名小女孩来说太麻烦了,她的心脏太小,进行常规手术需要冒很大风险。利用 3D 打印技术,这一风险被规避了。

  医生们通过使用 3D 打印机制作出了麦娜的心脏模型, 主治医生大卫·安德森教授凭借该模型设计出了定制的心脏修复补丁,并找出了最恰当的途径将之缝合到适当位置,补上了小麦娜心室间的那个洞。

  现在的麦娜像一个正常的女孩子健康成长。她能正常吃饭,不再气喘,还长出了漂亮的头发。


图为病愈的麦娜
  相信很多人和笔者一样,还是感到疑惑,传统拍片和 3D 打印出来的器官模型具体有哪些不同,后者又如何表示病变或者需要进行手术的位置呢?对于这一点,专业进行 3D 设计和打印的东莞创客联盟公司给读者解答了这个疑惑。其负责人陈小姐表示,通过不同颜色来表达病变或需要进行手术的位置,所打印出器官模型足以让病变位置一目了然。为便于说明,其负责人展示他们做的一个案例:
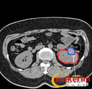
图为CT

  某医院的外科医生需要做一个 3D 肾脏模型,但 CT 片拍出的二维图像中,其肿瘤位置只是通过灰色的色阶来表示(临床应用中称之为 CT 值),如上图中红色圈出来的是肾脏截面,蓝色则为肿瘤位置。从图中可以看出,在 CT 片子中蓝色部分仅仅比红色部分要白一点。这就导致肿瘤部分和正常部分难以准确区分。

  通过 3D 打印则可以很好地解决这个问题,下面是陈小姐所展示的 3D 打印的肾脏模型,如图中可以清晰地看到肿瘤位置、以及大小。这样,医生们根据这个 3D 模型进行手术将会有更大的把握。
图为3D打印肾脏模型
  此前, 3D 打印技术已在牙科、骨科等领域进入临床应用。在肾脏外科的使用才刚刚起步,目前所能打印的是通过电脑成像所模拟出的 3D 模型。人们不禁要问了,是否有那么一天,人类可以打印出真正的人体心脏,以及别的器官?

  在国外,已有人打印出了人体干细胞。科学家表示,打印真实的人体组织或者器官,在 10 年内或可成为现实。


图为国外3D打印机所打印出的仿真人脸
发表评论